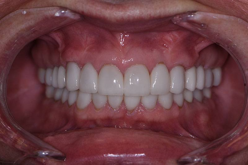
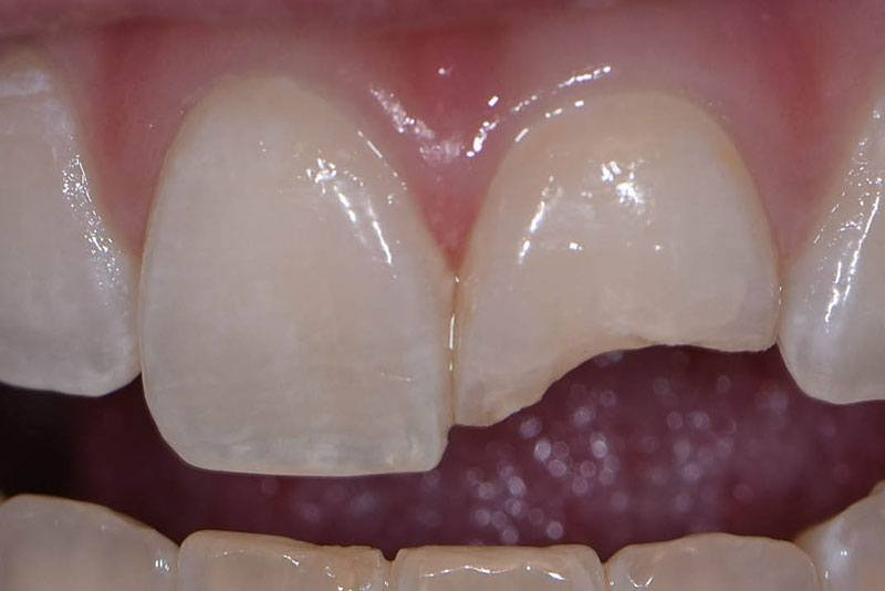
Explore our smile gallery to see some of the beautiful results Dr. Amanda Henry and Dr. Kay Henry have achieved for our patients! If you have any questions about our dental services or to schedule your one-on-one consultation with our skilled dentists in Crystal Lake, Illinois, please contact us at 815-459-4847 or text our team at 815-451-4847. We are here to help you achieve a healthier, more confident smile!































































